Projects
1. Eroded Jigsaw Puzzle Solving Using Siamese Neural Network and GAN
Designed an end-to-end framework that integrates with an inpainting model and a hyper-heuristic algorithm to solve the jigsaw puzzle problem.
Poster | Paper and code are coming soon.~
Jianxu Shangguan, Xingke Song, Jianfeng Ren
Poster | Paper and code are coming soon.~
Jianxu Shangguan, Xingke Song, Jianfeng Ren
2. Quantum Reinforcement Learning for Electric Vehicle Charging
Developed QRL algorithms, including Q-DDPG, Q-PPO, and Q-DQN to optimize EV charging strategies under fluctuating electricity prices and constrained grid environments.
Manuscript | Paper and code are coming soon.~
Zheyuan Jiang, Jianxu Shangguan, Tianxiang Cui
Manuscript | Paper and code are coming soon.~
Zheyuan Jiang, Jianxu Shangguan, Tianxiang Cui
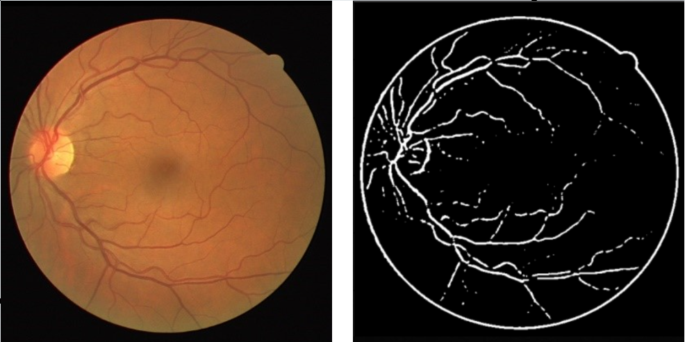
3. Retinal Vessel Segmentation Using U-Net Deep Learning Model
Explored the integration of edge detection algorithms with a U-Net-based ML network, providing deeper insights into the structural nuances of retinal images.
Manuscript
Jianxu Shangguan
Manuscript
Jianxu Shangguan
4. A Virtual Human For University Recruitment
Developed a fully customizable AI virtual human with a complete front-end and back-end architecture.
Handbook
Bin Jia, Jianxu Shangguan, Eajun Yik Jun Ooi, YunXiang Shi, Jianfeng Ren
Handbook
Bin Jia, Jianxu Shangguan, Eajun Yik Jun Ooi, YunXiang Shi, Jianfeng Ren